Автор Тема: Таман Шуд - история о неизвестном мужчине с пляжа Сомертон  (Прочитано 1322934 раз)

0 Пользователей и 1 Гость просматривают эту тему.

Digger

  • Старожил
  • ***
  • Сообщений: 152
  • За своевременную помощь За участие в поиске Сомертонца
    • Награды
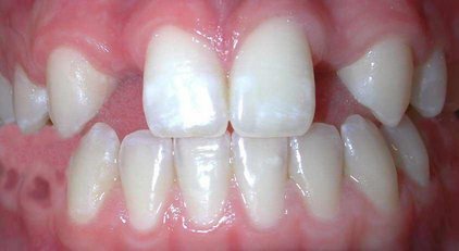
Двух резцов нет? Я уверена, что это не было сильно видно. Обычно в таких ситуациях это не просто "дыры" между зубами формируются, а большие расстояния между всеми остальными зубами. Так что уверена, что это особо его не портило и не бросалось в глаза.

Зубы незнакомца в соответствии с зубной картой должны были выглядеть примерно таким образом:

Отсутствие верхних боковых резцов на данном фото врожденное, несколько "лишних" зубов замазал в фотошопе. Согласен, что со стороны это не сильно бросалось в глаза. При разговоре или принятии пищи и незаметно было бы, что зубов не хватает. Это было бы видно, только если бы он широко улыбался или специально скалился.
Другое дело, что с таким количеством отсутствующих зубов ему действительно крайне неудобно должно было жить - кушать, да и даже жвачку жевать, которая у него кстати при себе была найдена. Поэтому вопрос с протезом по прежнему остаётся открытым. Думаю, выводу патанатома об отсутствии следов ношения зубного протеза вполне можно доверять. А стало быть, протез он не носил. Почему? Вероятно, протезирование было дорого, не каждый мог себе это позволить, и на тот момент у него протеза не было, хотя может в будущем и собирался, поднакопив деньжат, обзавестись им.




Just_Yana

  • Мастер
  • *****
  • Сообщений: 1000
  • Мой метод – дедукция!
    • Награды
Другое дело, что с таким количеством отсутствующих зубов ему действительно крайне неудобно должно было жить - кушать, да и даже жвачку жевать, которая у него кстати при себе была найдена.
А возможно ли, что жвачку он живал после того, как выкуривал сигарету, чтобы запах немного сбить? Или это давольно-таки современная привычка?

There is a crack in everything, that's how the light gets in.


madazooloo

  • Старожил
  • ***
  • Сообщений: 178
    • Награды
Другое дело, что с таким количеством отсутствующих зубов ему действительно крайне неудобно должно было жить - кушать, да и даже жвачку жевать, которая у него кстати при себе была найдена.
А возможно ли, что жвачку он живал после того, как выкуривал сигарету, чтобы запах немного сбить? Или это давольно-таки современная привычка?




Привычка может не такая уж и современная, просто с таким количеством зубов он мог ее только обсасывать. Но как вариант, вроде нет ничего не обычного в наличии ее если он так делал.
Мне еще вот что подумалось: как он не обжегся и не опалил одежду. Ведь если он даже умер на половине сигареты, она бы тлела и пепел бы попал на одежду и прожег ее. Может кто то посмертно ему бычок подложил.


fizulli

  • Новички
  • *
  • Сообщений: 20
    • Награды
Человек приспосабливается ко всему. Я знала одну старушку, у которой было от силы 3 зуба. Протезы она не ставила. В жизни это ей никогда не мешало. Она и мясо ухитрялась жевать, и огурцы соленые. Ничего не протирала. Знаю молодого человека, у которого тоже много зубов отсутствует. Даже шашлык ест спокойно. Поэтому жевать жвачку, это вообще не проблема.


Stavr45

  • Опытный
  • **
  • Сообщений: 117
    • Награды
Цитата
Человек приспосабливается ко всему.
Это точно. У моего отца уже много лет нет больше половины зубов (сейчас так вообще осталось 8 штук), но он не носит протезы и отказывается вставлять себе зубы. Говорит, кстати, вполне разборчиво и понятно (хотя некоторые студенты жалуются, что нельзя все разобрать, если он читает лекции слишком быстро, но мне встречались преподаватели с плохой дикцией не смотря на то, что зубов у них был полный комплект).
Так что некоторые люди просто принципиально, по одним им известным причинам, не носят протезы  :-\ И при этом если и испытывают некоторые неудобства в связи с отсутствием зубов, то не слишком расстраиваются по этому поводу.

Цитата
Мне еще вот что подумалось: как он не обжегся и не опалил одежду.
У меня частенько гаснут сигареты. Это связано с тем, что поскольку курю я крайне редко, то никак не могу приспособиться к тому, чтобы правильно прикурить сигарету. Особенно если прикуриваю спичками bk
Умение выразить свои мысли не менее важно, чем сами эти мысли, ибо у большинства людей есть слух, который надлежит усладить, и только у немногих – разум, способный судить о сказанном.  (с) Филипп Честерфилд


madazooloo

  • Старожил
  • ***
  • Сообщений: 178
    • Награды
Этот человек явно курил не 1 раз, говорилось о пожелтении пальцев, такое бывает у заядлых куряк, он явно знал как правильно прикурить сигарету :)
Другое дело если это посмертное действо, то с какой целью, ведь и так было бы ясно, что он курящий.


Arsenina_Marina

  • Старожил
  • ***
  • Сообщений: 190
  • Ад пуст. Все бесы здесь.
  • Криминальный репортер
    • Награды
В моих глазах образ этого человека очень романтизирован,даже излишне. Возможно, что ему было, что скрывать или от кого скрываться. Причин может быть много. Догадок о его прошлом можно составить миллионы.
Я думаю, что это было самоубийство, посредством употребления яда, находившегося в сигаретах. Склоняюсь к мысли, что в пачке находилась одна отравленная сигарета, о которой погибший, конечно, знал. Знал ли он когда ее выкурить? Возможно. А возможно, что он перемешал отравленную сигарету с другими и положил в пачку, зная, что смерть встретит скоро, но не зная когда.( Заранее извиняюсь за столь бредовую версию))) :-[ :-
Оптимизм - это недостаток информации.


yobabubba

  • Гость
Этот человек явно курил не 1 раз, говорилось о пожелтении пальцев, такое бывает у заядлых куряк
Насчет пожелтевших пальцев я писал раньше. Причина в сигаретах, а не в том, что человек много курит.


Matew

  • Новички
  • *
  • Сообщений: 28
    • Награды
Цитата: link=topic=358.msg11315#msg11315 date=1413896514
Я думаю, что это было самоубийство, посредством употребления яда, находившегося в сигаретах. Склоняюсь к мысли, что в пачке находилась одна отравленная сигарета, о которой погибший, конечно, знал. Знал ли он когда ее выкурить? Возможно. А возможно, что он перемешал отравленную сигарету с другими и положил в пачку, зная, что смерть встретит скоро, но не зная когда.( Заранее извиняюсь за столь бредовую версию)
Интересная версия и, отнюдь, не бредовая. Вполне логичная... только вот кого (или чего) боялся мужчина(здоровый и физически развитый), что решил покончить жизнь самоубийством используя "русскую рулетку", согласитесь, странный поступок. А быть может он просто потерял смысл жизни и решил сыграть в эту роковую игру осознанно? Или это был его долг\обязанность?


fizulli

  • Новички
  • *
  • Сообщений: 20
    • Награды
А может он моряк был. Поэтому его не опознали. Получил выходные, или просто сошел на берег. Корабль ушел. Может когда нибудь моряки видели листовку с фотографией, но вы газетные снимки тех лет представляете? Там родную маму не узнаешь. Причем можно ведь не только матросом служить. Например радистом, коком. А если предположить, что он был с иностранного судна. А отравление он действительно мог получить случайно. Мне тоже кажется, что его образ сильно романтизирован, разгадка может быть банальна.